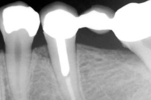
Le nostre apparecchiature diagnostiche sono minimamente invasive. Per le videoradiografie usiamo sensori di ultima generazione che evitano lo sviluppo di lastre fotografiche riducendo del 90% l’emissione di raggi X necessari per l’esame.
L’esame viene eseguito in maniera istantanea. I vantaggi sono particolarmente utili nel caso di pazienti giovani e bambini e donne in stato di gravidanza. In questi soggetti prima dell’avvento della videoradiografia era controindicato fare esami di questo tipo. Con l’RVG, invece, dato il bassissimo rischio radiogeno, è il medico a decidere l’opportunità di eseguire l’esame, che spesso rappresenta un vantaggio e non un pericolo.

