fbpx

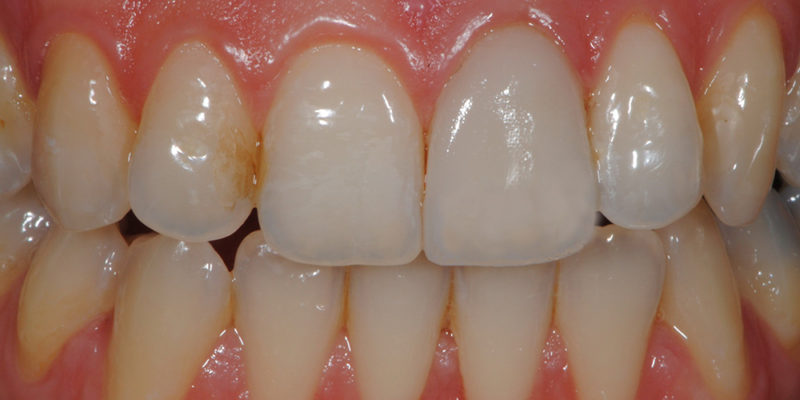
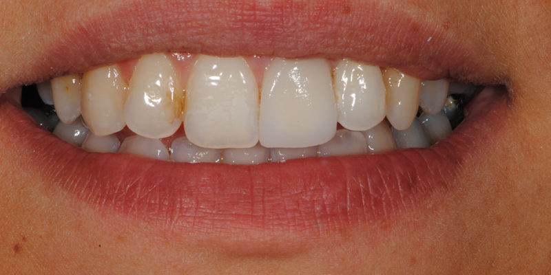
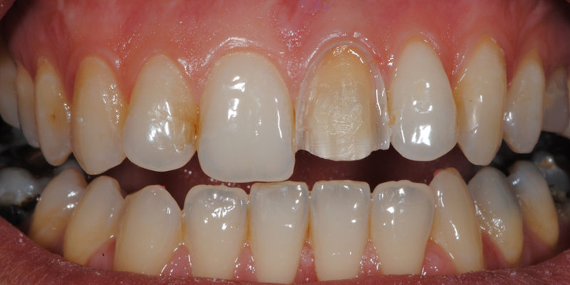
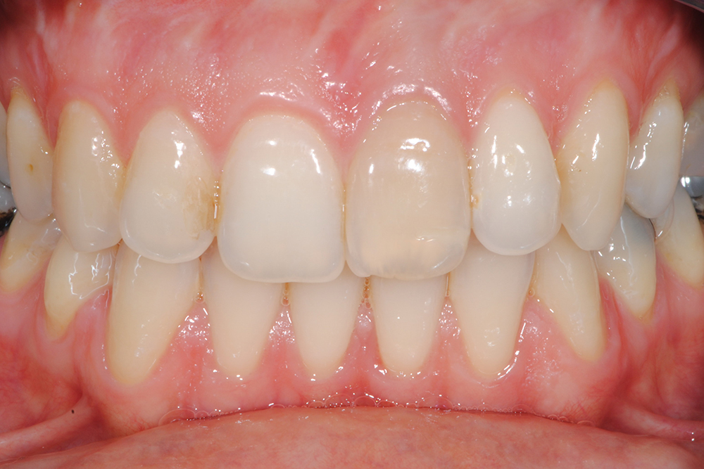
Faccetta estetica anteriore in ceramica

You are here:
Go to Top