fbpx

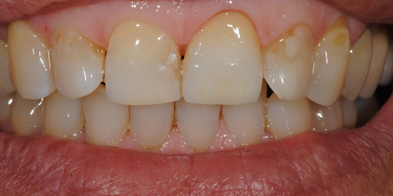
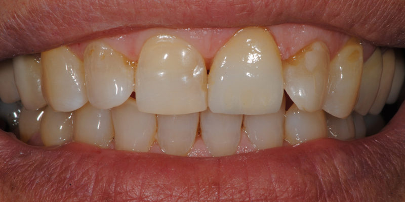
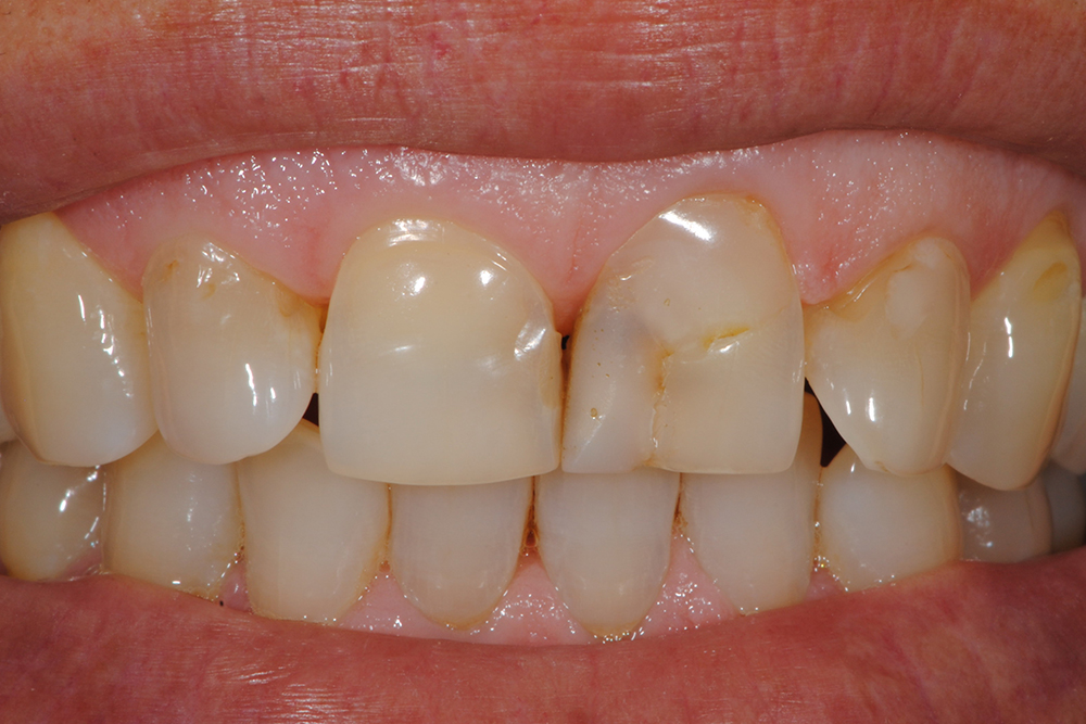
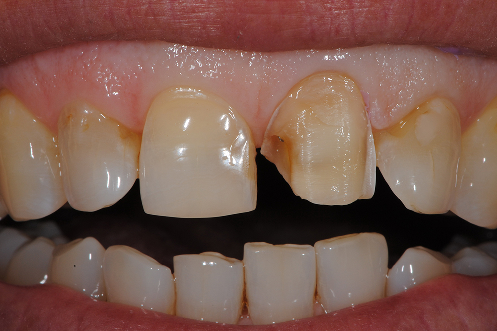
Sostituzione di cura in composito su incisivo con faccetta

You are here:
Go to Top