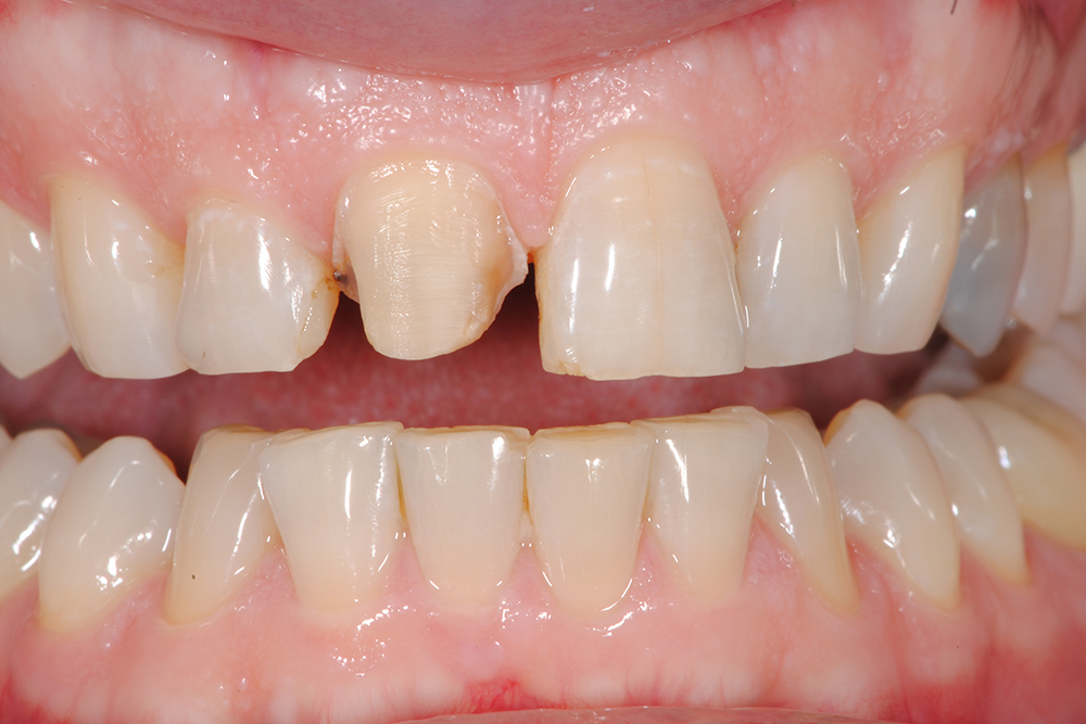
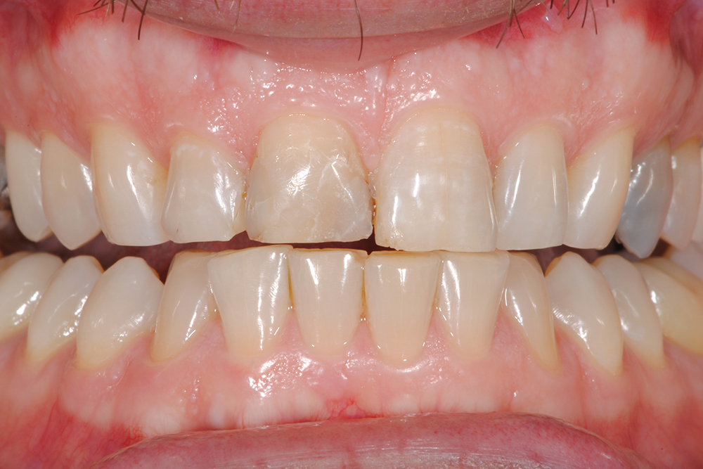
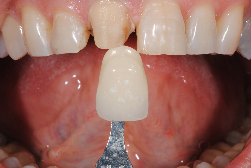
Faccetta estetica anteriore in ceramica Category: Lavori FaccetteAprile 10, 2018Condividi questo ProgettoShare with FacebookShare with TwitterShare with Google+Share with PinterestShare with LinkedInProject navigationPreviousPrevious project:Faccette estetiche anteriori in ceramicaNextNext project:Sostituzione di cura in composito su incisivo con faccetta