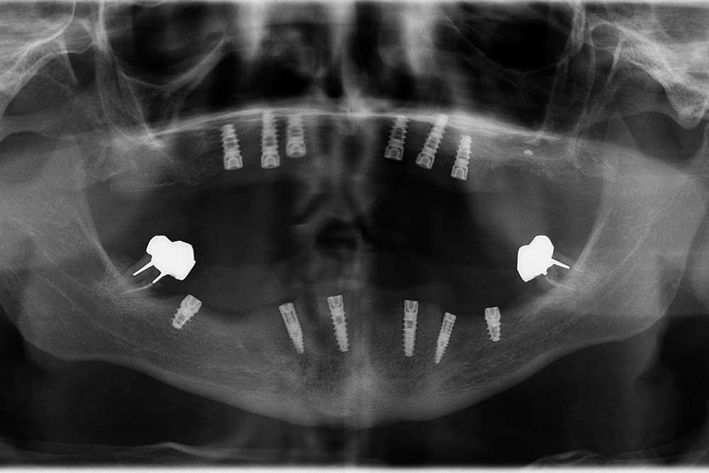
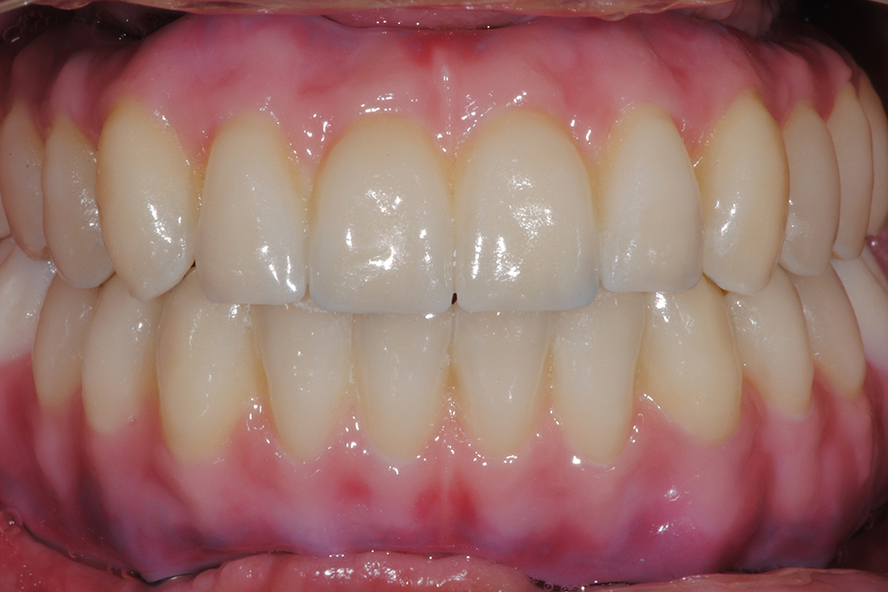
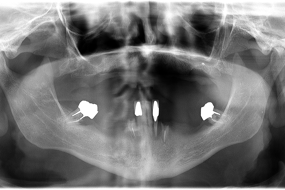
Ripristino dell'arcata superiore ed inferiore su impianti con ricostruzione estetica in zirconia e ceramica Category: Lavori ImpiantiMaggio 9, 2018Condividi questo ProgettoShare with FacebookShare with TwitterShare with Google+Share with PinterestShare with LinkedInProject navigationPreviousPrevious project:Ripristino dell’arcata superiore atroficaNextNext project:Protesi mobile superiore + Overdenture inferiore