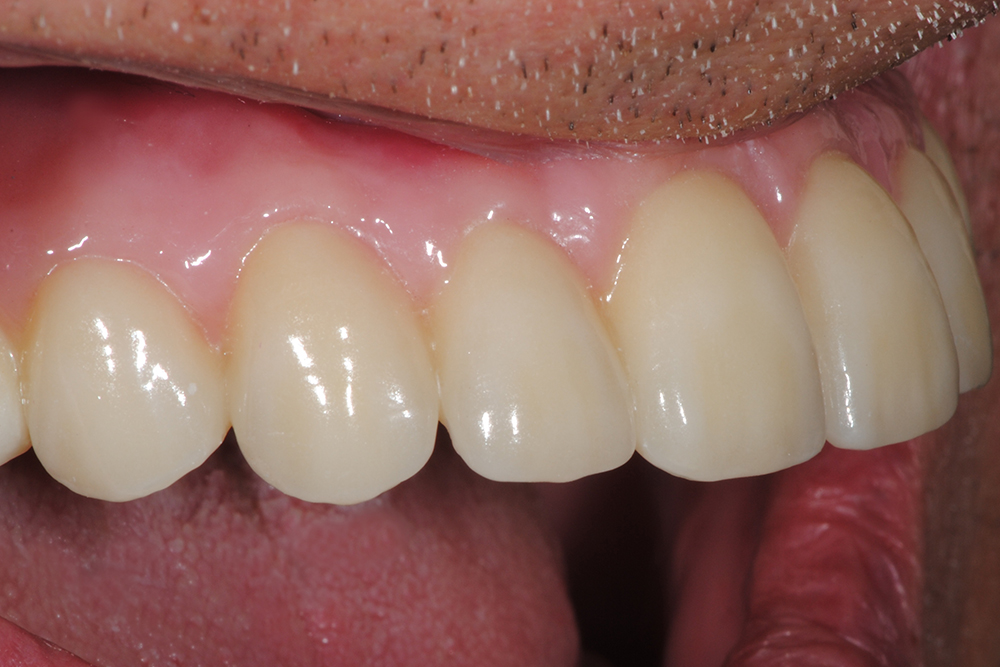
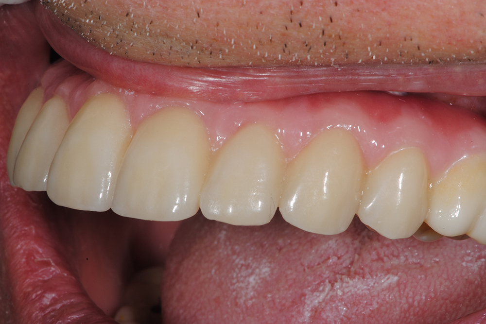
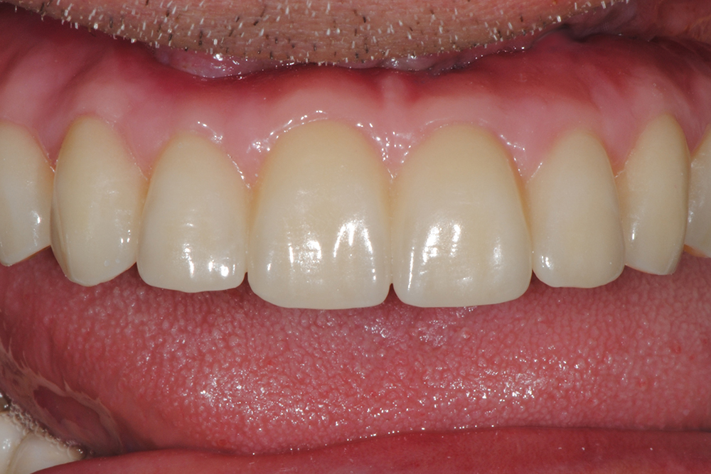
Ripristino dell'arcata superiore atrofica su impianti con ricostruzione estetica in zirconia e ceramica Category: Lavori ImpiantiMaggio 9, 2018Condividi questo ProgettoShare with FacebookShare with TwitterShare with Google+Share with PinterestShare with LinkedInProject navigationPreviousPrevious project:Ripristino di breccia anteriore inferioreNextNext project:Ripristino dell’arcata superiore atrofica