fbpx

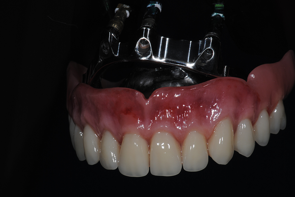
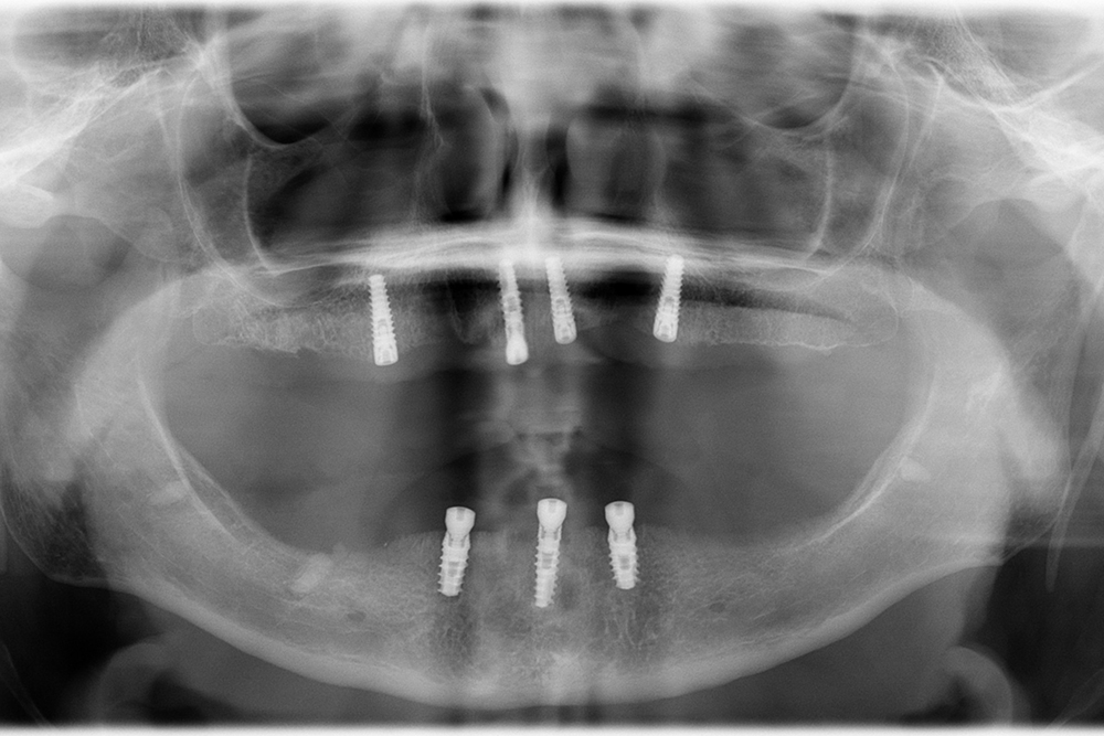
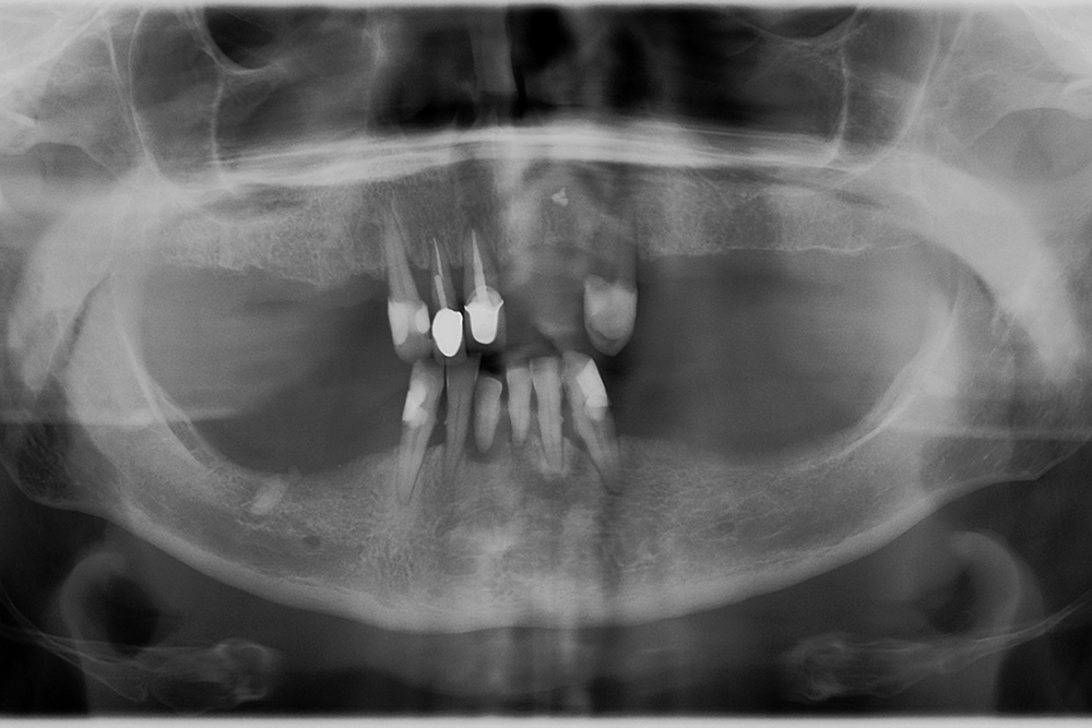
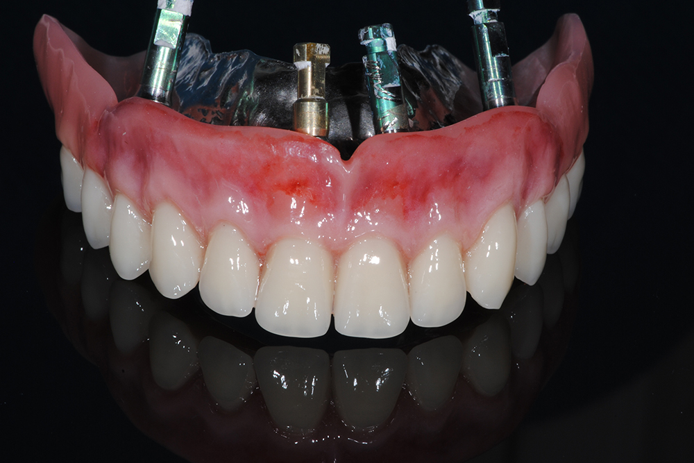
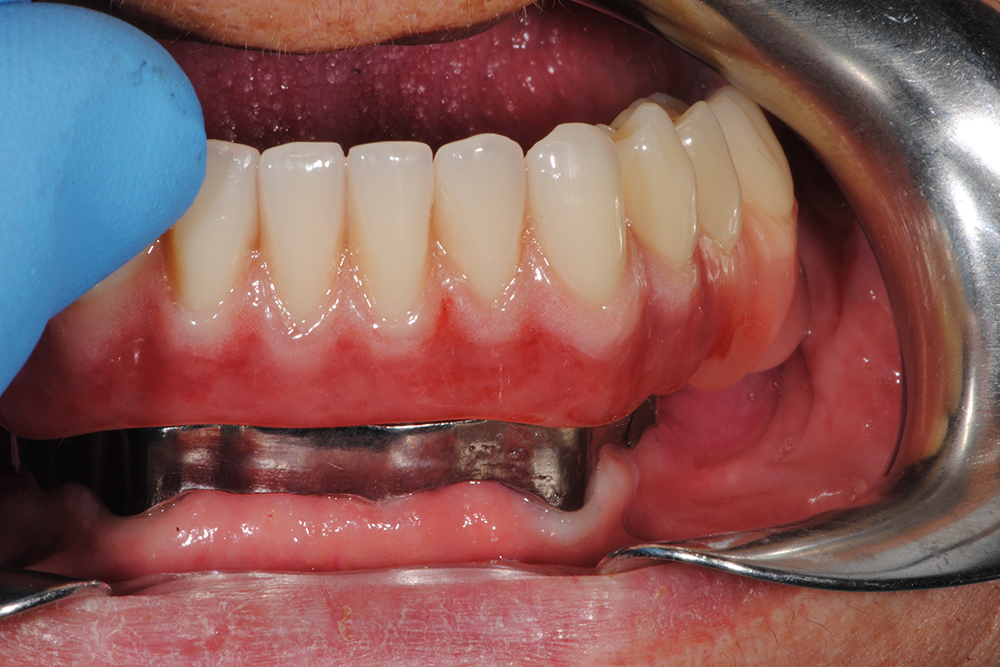
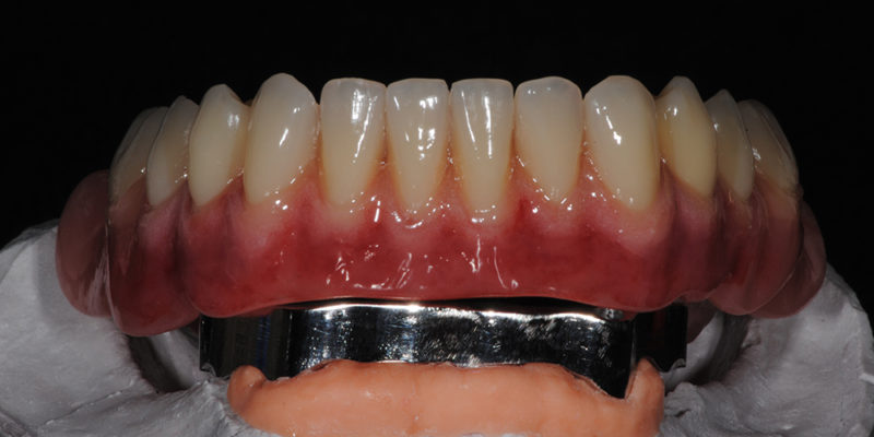
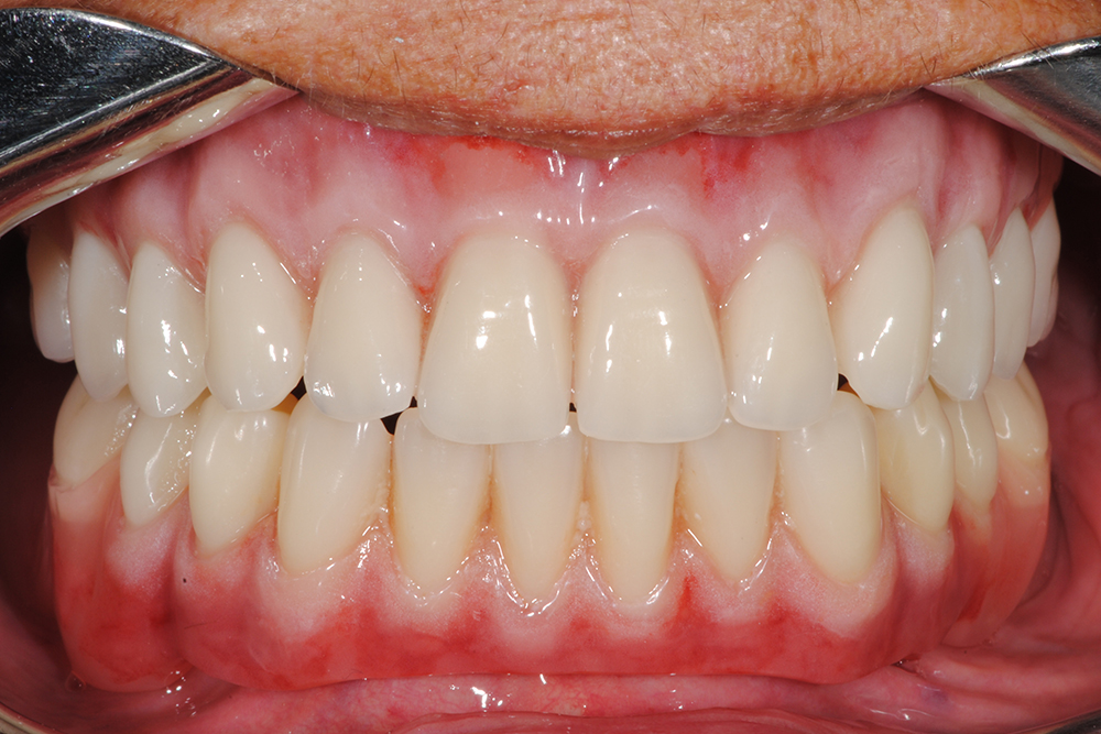
Ripristino dell’arcata superiore ed inferiore su overdenture su barra

You are here:
Go to Top