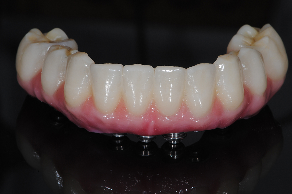
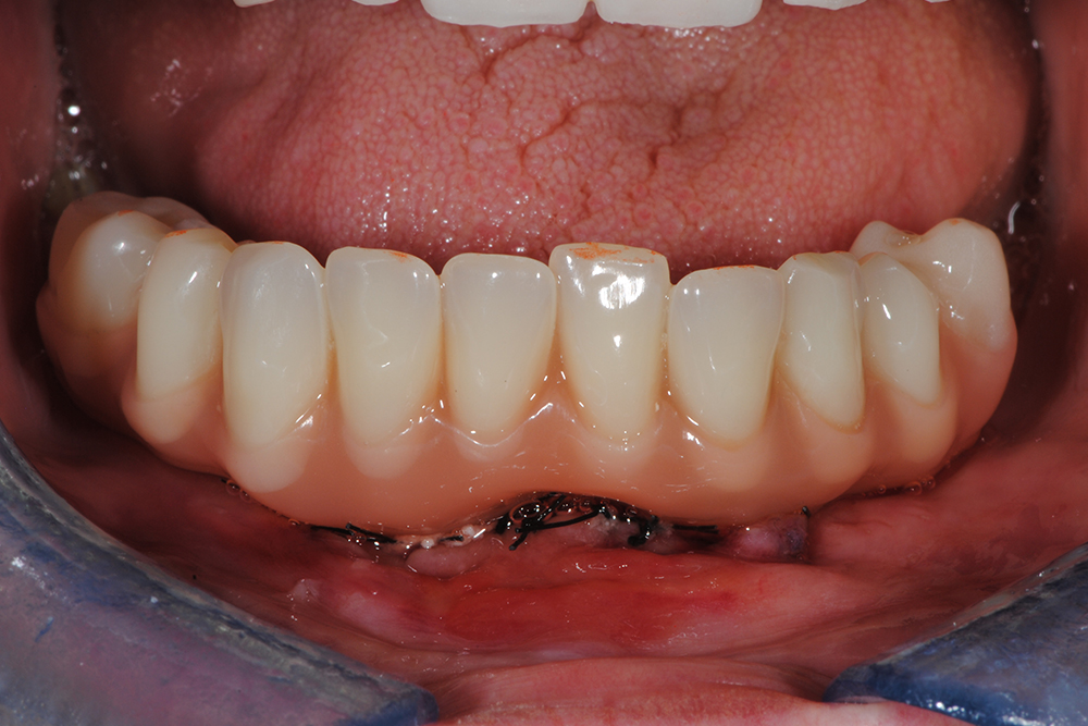
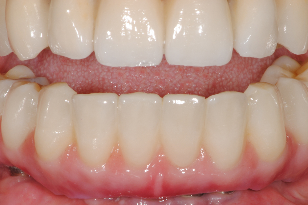
Ripristino dell'arcata inferiore con carico immediato Category: Lavori ImpiantiMaggio 9, 2018Condividi questo ProgettoShare with FacebookShare with TwitterShare with Google+Share with PinterestShare with LinkedInProject navigationPreviousPrevious project:Ripristino dell’arcata superiore su impiantiNextNext project:Ripristino di breccia anteriore inferiore