fbpx

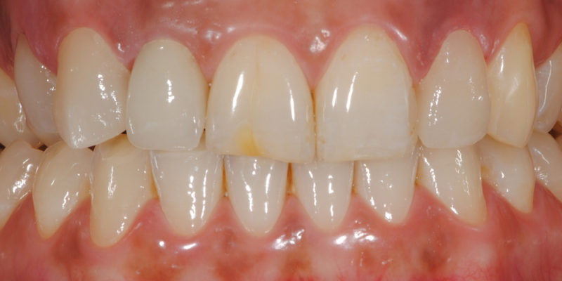
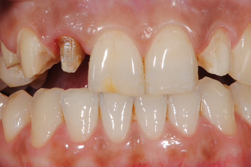
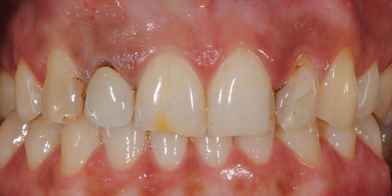
Faccette estetiche anteriori in ceramica

You are here:
Go to Top