fbpx

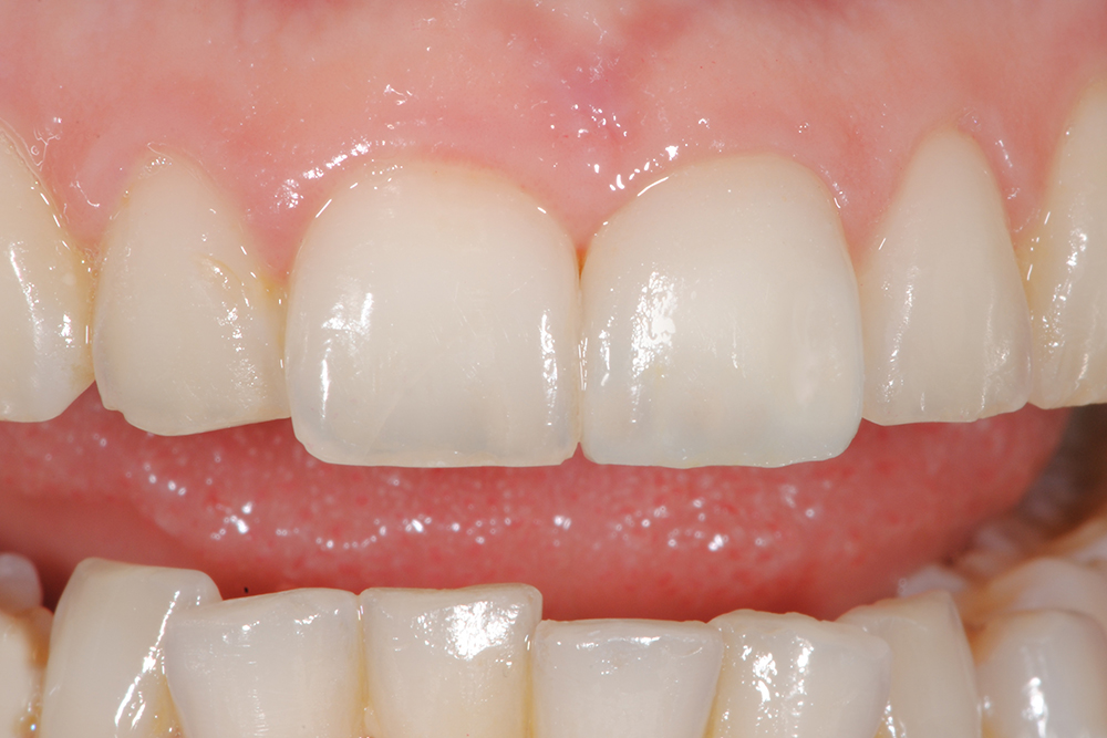
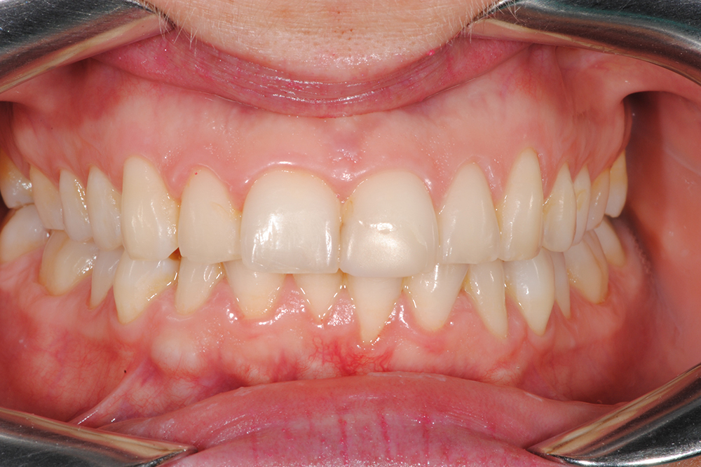
Sostituzione di vecchie cure in composito con faccette

You are here:
Go to Top