fbpx

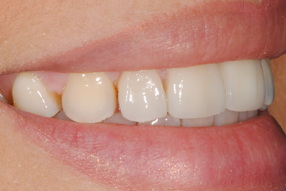
Ricostruzione estetica anteriore

You are here:
Go to Top