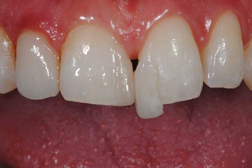
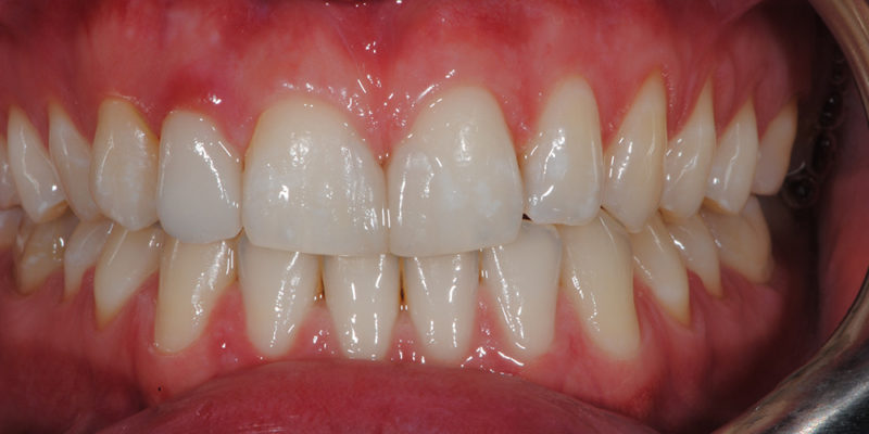
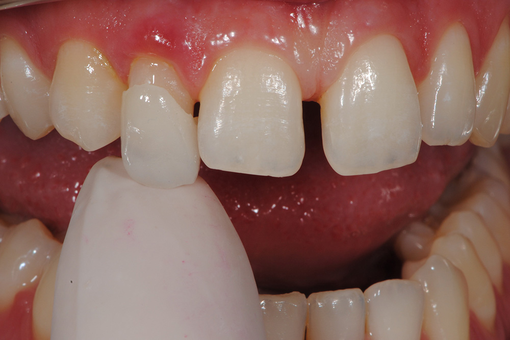
Ricostruzioni estetiche anteriori non invasive (Additional Veneers) Category: Lavori FaccetteAprile 9, 2018Condividi questo ProgettoShare with FacebookShare with TwitterShare with Google+Share with PinterestShare with LinkedInProject navigationPreviousPrevious project:Ricostruzione estetica anterioreNextNext project:Ricostruzioni estetiche non invasive