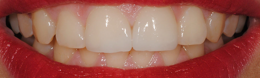
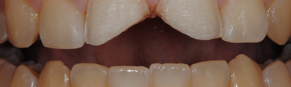
Sostituzione di vecchie cure in composito su denti fratturati con faccette estetiche in ceramica Category: Lavori FaccetteAprile 6, 2018Condividi questo ProgettoShare with FacebookShare with TwitterShare with Google+Share with PinterestShare with LinkedInProject navigationPreviousPrevious project:Caso Invisalign 4NextNext project:Ricostruzione estetica anteriore